低身長にお悩みの方・背を伸ばしたい方へ
体が大きくなる10~14歳は、まさに成長の黄金期!
~お子様の発育が心配な親御様へ~
✔ 子どもの身長がどれくらい伸びるのか知りたい
✔ スポーツで優位になるのに、背を伸ばしたい
✔ 食べ物の好き嫌いが多く、栄養バランスがしっかり取れているか不安
✔ あまり食べないので、発育が不安
10~14歳の過ごし方がとても大切!
この時期にしっかりとした生活指導を受けて、
身長の伸びしろを最大限に活かす事が大切です。
身長お悩み相談を受けて、成長の黄金期に何をすべきか
一緒に明確にしませんか?
身長お悩み相談
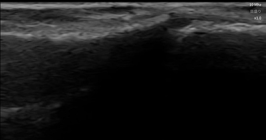
●身長伸びしろ検査
エコー検査による画像で、あなたの身長の伸びしろが分かります。

●個別カウンセリング
食事や運動、日常生活に関して、最適なアドバイスをしていきます。

【料金】
初回 3,200円
2回目以降 1,600円
★ 事前ご予約の方は半額になります。
★ 成長プロテインご購入で、さらに半額!
#背を伸ばす
#背を高くする
#身長を伸ばす
#身長を高くする
#スポーツ
#ジュニアアスリート
#中学生
#小学生
#ジュニアプロテイン
#成長サプリ
2025年10月05日 00:00